• با ما در ساختن آینده ایران سهیم باشید
  • با ما در ساختن آینده ایران سهیم باشید
javascript carousel by WOWSlider.com v9.0

روشی که سرطان را درمان کرده است

شنبه 30 بهمن
محققان می‌گویند، یک درمان آزمایشی که ۱۰ سال پیش روی دو بیمار مبتلا به سرطان انجام شده است، هنوز آنها را از شر این بیماری مصون نگاه داشته است.
روشی که سرطان را درمان کرده است


گروهی از محققان اعلام کرده‌اند که دو بیمار که در سال ۲۰۱۰ به نوعی سرطان خون به نام "لوسمی مزمن لنفاوی"(CLL) مبتلا بودند، اکنون یک دهه بعد پس از دریافت یک درمان آزمایشی در یک کارآزمایی بالینی در دانشگاه "پنسیلوانیا"، هنوز از سرطان پاک هستند.

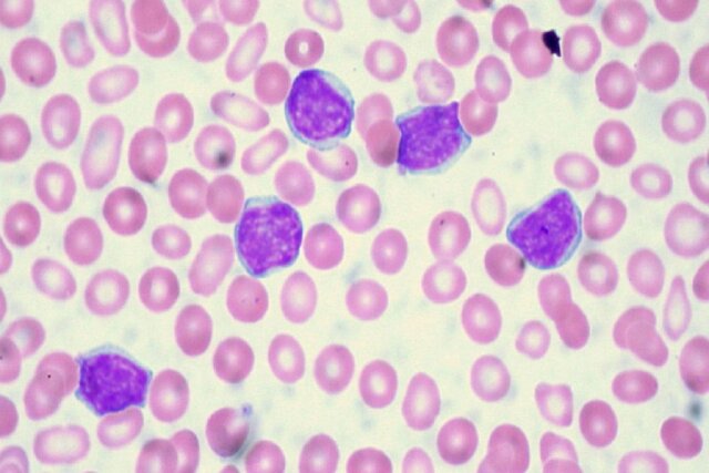
"لوسمی مزمن لنفاوی" یکی از انواع سرطان خون است. این نوع لوسمی، سلول‌های لنفاوی یا لنفوسیت‌ها را تحت تأثیر قرار می‌دهد که بافت‌های لنفاوی را می‌سازند و روندی مزمن دارد.

درمان آزمایشی مذکور که به عنوان "درمان CAR با سلولT" شناخته می‌شود، شامل حذف سلول‌های T؛ سلول‌هایی که با ویروس‌ها مبارزه می‌کنند از خون بیمار، برنامه‌ریزی مجدد آنها برای حمله به سلول‌های بدخیم و سپس تزریق سلول‌های اصلاح‌ شده به بدن برای درمان است.

اکنون جدیدترین یافته‌ها از این کارآزمایی بالینی، بسیار دلگرم کننده است و نشان می‌دهد که این روش ممکن است در درمان برخی از انواع سرطان در طولانی مدت مفید باشد. اکنون دانشمندان به اصلاح و توسعه این درمان ادامه می‌دهند و با تایید اثربخشی آن امیدواریم آن را در اختیار بیماران بیشتری قرار دهند.

اما درمان موسوم به "CAR T-cell" چیست؟ دو بیمار از سه بیماری که در سال ۲۰۱۰ با این روش تحت درمان سلول قرار گرفتند، از آن زمان تاکنون عاری از بیماری باقی مانده‌اند. این بیماران جزو اولین بیمارانی بودند که تحت درمان با روش "CAR T-cell" قرار گرفتند و پزشکان، سلول‌ها و وضعیت آنها را در طول دهه گذشته ردیابی کردند.

این مطالعه به ما می‌گوید که این درمان اساساً یک "درمان زنده" است، زیرا می‌تواند سالها در بدن باقی بماند و به نظر می‌رسد که قادر به بهبودی کامل و طولانی‌مدت باشد.

بر اساس مطالعه منتشر شده در مجله "نیچر"(Nature)، محققان توانستند سلول‌های CAR T را در جریان خون بیماران حتی مدت‌ها پس از ناپدید شدن سرطان آنها شناسایی کنند.

دکتر "کارل جون" محقق اصلی این کارآزمایی در دانشگاه "پنسیلوانیا" می‌گوید: اکنون بالاخره می‌توانیم کلمه "درمان" را به این روش اطلاق کنیم. با این حال، باید توجه داشت که بازگشت سرطان یک فرد پس از مدت طولانی غیرممکن نیست. اگرچه ممکن است برای اینکه بگوییم این بیماران درمان شده‌اند، خیلی زود باشد، اما این موارد بسیار دلگرم کننده هستند.

محققان به سرنوشت این سلول‌های اصلاح شده نگاه کردند تا ببینند چرا درمان با سلول "T CAR" تا این حد موفقیت آمیز بوده است. "دیوید مالونی" مدیر پزشکی بخش سلولی این دانشگاه توضیح داد: نکته شگفت‌انگیز این است که به نظر می‌رسد انواع سلول‌های T  CAR که در واقع پس از این مدت هنوز وجود داشتند، اندکی با آنچه پیش‌بینی می‌شد، متفاوت بودند.

سلول‌هایی که باقی مانده‌اند، سلول‌های T اصلاح شده‌ای نبودند که به سلول‌های بیمار حمله می‌کردند. در عوض، به نظر می‌رسید به "سلول‌های T کمکی" که معمولاً در هماهنگی پاسخ ایمنی نقش دارند، تبدیل شده‌اند. علاوه بر این، آزمایش‌ها نشان داد که این سلول‌های کمکی توانایی‌های سلول‌کُشی خود را حفظ کرده‌اند.

"جان ای. لوین" پروفسور پزشکی، هماتولوژی، و انکولوژی در موسسه تحقیقات سرطان "تیش"(Tisch) گفت: ما مدت‌هاست متوجه شده‌ایم که بین سلول‌های T CAR که برای مدت طولانی باقی می‌مانند و سلول‌هایی که در عرض چند هفته تا چند ماه پس از عدم کارایی می‌میرند، تفاوت‌هایی وجود دارد. این مطالعه اکنون برخی از این تفاوت‌ها را نشان می‌دهد.

هنوز برای تایید این درمان زود است. با این حال، هنگامی که اطلاعات بیشتر در مورد اثربخشی این درمان ظاهر شود، مطمئناً می‌تواند به یک گزینه درمانی محبوب‌تر و در دسترس‌تر تبدیل شود.

در حال حاضر این درمان توسط سازمان غذا و داروی آمریکا(FDA) برای برخی از انواع سرطان‌ها تایید شده است و تنها با گذشت زمان و مطالعات بیشتر مشخص خواهد شد که آیا این روش درمانی برای سایر سرطان‌ها نیز مفید خواهد بود یا خیر.
منبع : ایسنا


منبع خبر : ایسنا