• با ما در ساختن آینده ایران سهیم باشید
  • با ما در ساختن آینده ایران سهیم باشید
javascript carousel by WOWSlider.com v9.0

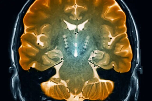
شناسایی سلول‌های مغزی مرتبط با بیماری پارکینسون

شنبه 17 اردیبهشت
زیرگروهی از سلول‌های مغزی که در بیماری پارکینسون از بین می‌روند با استفاده از روشی جدید که نشان می‌دهد کدام ژن‌ها در هر سلول‌ فعال هستند، کشف شده است.
شناسایی سلول‌های مغزی مرتبط با بیماری پارکینسون

به گزارش ایسنا و به نقل از نیوساینتیست، دهه‌هاست که می‌دانیم بیماری پارکینسون که یک بیماری پیش‌رونده است و منجر به لرزش اندام‌ها و مشکلات حرکتی می‌شود، با مرگ تدریجی سلول‌های بخشی از مغز به نام جسم سیاه(substantia nigra) ارتباط دارد. این سلول‌ها یک ماده شیمیایی به نام دوپامین می‌سازند که در کنترل حرکت نقش دارد اما هویت دقیق این سلول‌ها تاکنون مشخص نشده بود.  

"ایوان ماکوسکو "(Evan Macosko) از موسسه براد(Broad) موسسه فناوری ماساچوست(MIT) و هاروارد می‌گوید که داروهای بیماری پارکینسون به روش‌های مختلف دوپامین را افزایش می‌دهند، اما اثرات آنها به مرور زمان کاهش می‌یابد، بنابراین درمان‌های بهتری مورد نیاز است.

تیم "ماکوسکو" سلول‌های جسم سیاه هشت نفر را که پارکینسون نداشتند و موافقت کرده بودند پس از مرگ مغز خود را برای تحقیقات اهدا کنند، بررسی کردند.

محققان از یک روش نسبتاً جدید به نام توالی یابی آران‌ای تک سلولی(single cell RNA sequencing) استفاده کردند. این روش امکان بررسی جداگانه‌ی سلول‌های داخل بافت را فراهم می‌کند تا مشخص شود که کدام یک از ژن‌های آن‌ها فعال و تولید کننده‌ی ‌پروتئین است. محققان دریافتند که ۱۰ زیرگروه مختلف از سلول‌های تولید کننده دوپامین در جسم سیاه وجود دارد.

در مرحله بعد، محققان از همین روش برای بررسی مغز ۱۰ فردی که در اثر بیماری پارکینسون یا بیماری زوال عقل مشابه آن درگذشته بودند، استفاده کردند. آنها دریافتند که تنها تعداد یکی از زیرگروه‌های سلول‌های مغزی کاهش یافته است که نشان می‌دهد بسیاری از سلول‌های این زیرگروه در زمانی که فرد زنده بوده، از بین رفته است.

حدود ۱۰۰ هزار مورد از این سلول‌ها در مغز یک فرد بالغ سالم وجود دارد. ماکوسکو می‌گوید: این یک زیر مجموعه بسیار کوچک است. مثل این بود که در انبار کاه به دنبال سوزن بگردیم.

او می‌گوید، این یافته‌ها به درک بهتر علت ایجاد بیماری پارکینسون و یافتن راهی برای بررسی درمان‌های بالقوه کمک می‌کند. برای مثال، اگر این سلول‌ها در یک ظرف آزمایشگاهی رشد داده شوند، می‌توان داروهای جدید را روی آنها آزمایش کرد.


منبع خبر : https://www.isna.ir/news