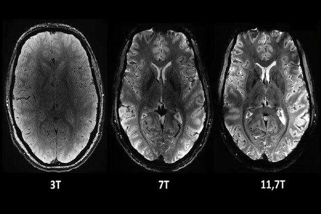
قدرتمندترین دستگاه امآرآی(MRI) جهان با اسکن مغز یک فرد زنده شروع به اثبات ارزش خود کرده است. تصاویر به دست آمده یک نگاه اجمالی با وضوح فوقالعاده بالا به مغز ارائه میدهند که به ما در درک بهتر ماهیت هوشیاری و درمان بیماریهای عصبی کمک میکند.
دستگاه امآرآی «Iseult» که توسط کمیسیون انرژیهای جایگزین و انرژی
اتمی فرانسه(CEA) توسعه یافته است، دارای قدرت میدان مغناطیسی ۱۱.۷ تسلا(T)
است. در مقایسه باید گفت که قدرت میدان مغناطیسی دستگاههای امآرآی
معمولی که امروزه در بیمارستانها به طور گسترده مورد استفاده قرار
میگیرند، معمولا ۱.۵ یا حداکثر سه تسلا هستند.
به نقل از نیواطلس، مزیت اصلی این قدرت اضافی این است که میتوان
تصاویری با وضوح بسیار بالاتر و بسیار سریعتر از مغز گرفت. تنها در عرض
چهار دقیقه، این دستگاه میتواند تصاویری تا ۰.۲ میلیمتر دقت از بافت مغز
را به صورت افقی ثبت کند. این حجم معادل چند هزار نورون در یک لحظه است.
برای اینکه دستگاههای امآرآی معمولی بتوانند عکسهایی با این وضوح
بگیرند، بیماران باید بیش از دو ساعت کاملا ثابت دراز بکشند و کوچکترین
حرکت باعث تار شدن عکس میشود که البته این امکانپذیر نیست.
این دستگاه جدید چند سال پیش روی کدو تنبل آزمایش شد، اما اکنون اولین
اسکن مغز انسان را که متعلق به یک داوطلب سالم ۲۰ ساله است، انجام داده
است.

این تصاویر خیره کننده پتانسیل فناوری جدید ام آرآی را نشان میدهد تا
اطلاعاتی در مورد نحوه عملکرد مغز را که پیش از این دست نیافتنی بود از
جمله نحوه رمزگذاری بازنماییهای ذهنی و علائم عصبی مرتبط با خود آگاهی را
نشان دهد.
علاوه بر این، دستگاه امآرآی Iseult همچنین باید به دانشمندان در درک،
تشخیص و درمان بیماریهای عصبی مانند آلزایمر و پارکینسون کمک کند. باید
بتواند علائم شیمیایی را که معمولا خیلی ضعیف هستند و با اسکنهای امآرآی
معمولی دیده نمیشوند، از جمله مولکولهایی مانند گلوکز و گلوتامات، که در
متابولیسم مغز نقش دارند و اختلالاتی که میتوانند در شرایطی مانند گلیوما
و تخریب عصبی دخیل باشند، شناسایی کند. همچنین میتواند توزیع لیتیوم در
مغز را که برای درمان اختلالات دوقطبی استفاده میشود، ردیابی کند.
این دستگاه جدید بسیار بزرگتر از سایر دستگاههای امآرآی است. طول و
عرض آن پنج متر و وزن آن ۱۳۲ تُن است و با ۱۸۲ کیلومتر سیمهای ابررسانا
ساخته شده است. برای خنک نگه داشتن آهنرباها تا دمای منفی ۲۷۱.۳۵ درجه
سانتیگراد حدود ۷۵۰۰ لیتر هلیوم مایع لازم است. این ابعاد، پیچیدگی و بدون
شک هزینه آن ممکن است مکانهایی که میتوان از دستگاه امآرآی Iseult
استفاده کرد، محدود کند.
منبع خبر :
https://www.isna.ir/