• با ما در ساختن آینده ایران سهیم باشید
  • با ما در ساختن آینده ایران سهیم باشید
javascript carousel by WOWSlider.com v9.0

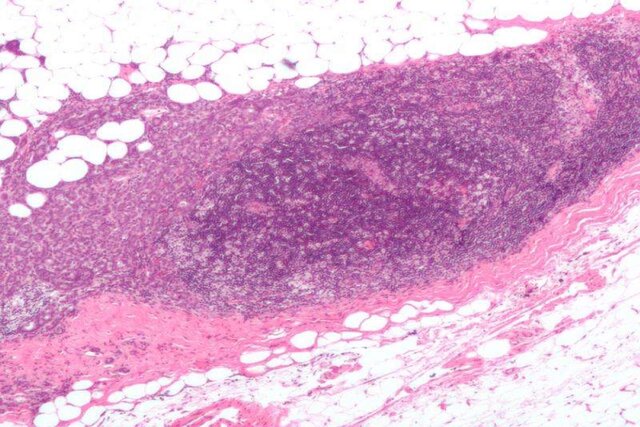
شناسایی راهی جدید برای تشخیص سرطان پستان

دوشنبه 15 فروردین
مطالعه‌ای جدید که به بررسی سطوح آنتی‌اکسیدان و نشانگرهای استرس در خون پرداخته می‌تواند به ایجاد روشی جدید برای تشخیص سرطان پستان منجر شود
شناسایی راهی جدید برای تشخیص سرطان پستان

به گزارش ایسنا و به نقل از مدیکال‌اکسپرس، این مطالعه این هفته در نشست سالانه انجمن فیزیولوژیک آمریکا(APS) در فیلادلفیا ارائه خواهد شد.

سرطان پستان شایع‌ترین سرطان در جهان است. سازمان بهداشت جهانی تخمین زده که در سال ۲۰۲۰ نزدیک به هشت میلیون زن در سراسر جهان مبتلا به سرطان پستان‌ بوده‌اند که طی پنج سال اخیر از ابتلای خود به این بیماری آگاه شده بودند. کشف روش‌های تشخیصی جدید اهمیت زیادی در تلاش برای به حداقل رساندن آثار مخرب این بیماری دارد. محققان دانشگاه لاهور پاکستان به بررسی نقش نشانگرهای التهاب و استرس در ایجاد و پیشرفت سرطان سینه پرداختند.

محققان نمونه‌ی خون زنان یائسه که به سرطان سینه مبتلا بودند را بررسی کردند. این بیماران در مقایسه با گروه شاهد به طور قابل توجهی سطوح بالاتری از نشانگرهای التهابی نشان دادند.

در میان نشانگرهایی که بیش از حد بیان شده بودند پروتئین پیش التهابی اینترلوکین-۱، ماتریکس متالوپروتئیناز ۹ که آنزیمی است که در بسیاری از بیماری‌ها بیان می‌شود و پروتئین شوک حرارتی ۲۷(Heat shock protein ۲۷) قرار داشتند. این پروتئین به عنوان آنتی‌اکسیدان عمل می‌کند و به طور معمول از مرگ سلولی جلوگیری کرده یا آن را کاهش می‌دهد.

با این وجود در برخی بیماری‌ها از جمله سرطان، این پروتئین هم محافظت کننده و هم مخرب است.

علاوه بر آن بیماران مبتلا به سرطان سینه سطوح پایینی از ترکیبات محافظتی مانند ویتامین A، C ‌،D و کاتالاز نشان دادند.


منبع خبر : https://www.isna.ir/news